症例

  1. TOP
  2. 症例

セラミック矯正4本セット
(スマイルライン)
¥222,000(税込)

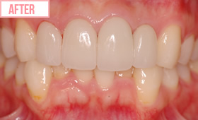
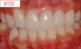
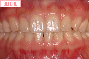
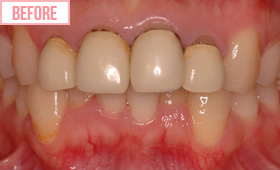
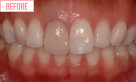
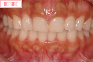
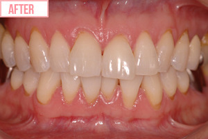
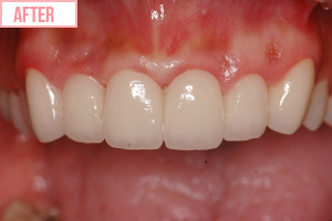
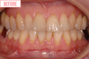
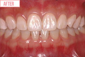
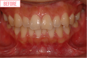
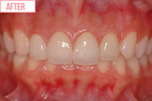
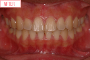
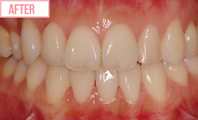
症例1:S.S様

  • セラミック矯正施術前1
  • セラミック矯正施術後1

上記の写真と下記の写真は同一症例で、それぞれ唇を上げた場合と下げた場合の写真となります。

  • セラミック矯正施術前2
  • セラミック矯正施術後2

※写真は高級スマイルラインです

スマイルラインセットは、笑った時の口元の印象の80%を占めると言われる上の4本の歯並びをセットで治し、文字通りあなたのスマイルラインを整え、キレイな笑顔を実現する方法です。
ワイヤー矯正やマウスピース矯正に比べると短い期間で治療でき、色や形など見た目の改善もできます。
セラミック治療は審美性がとても高く、歯との接着もしっかりしている上、プラークも付着しにくいため二次むし歯を予防できます。
金属を使用しないので金属アレルギーの方も安心して治療できます。

セラミック矯正治療のリスク

  • セラミックを被せるため、健康な歯を削ったり神経を抜いたりする場合がある。
  • 歯の神経の治療が必要な場合は、歯の根の破折、歯の神経の再治療などの可能性があり、ごく稀だが、最悪の場合は歯を抜かなくてはならない場合もある。
  • セラミックは天然の歯と同じように使用する事には問題はないが比べて強いわけではなく、突発的な強い衝撃(事故など)が加わると破損する可能性がある。

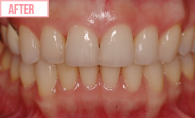
アクトレス矯正4 ¥619,190(税込)

症例1:M.H様

  • アクトレス矯正施術前1
  • アクトレス矯正施術後1

アクトレス矯正とは、上の歯を補綴(ほてつ)、つまりオールセラミック人工歯で歯列をきれいにし、下の歯列は矯正で歯を動かすという歯列矯正方法です。

アクトレス矯正6 ¥791,340(税込)

症例1:M.H様

  • アクトレス矯正施術前2
  • アクトレス矯正施術後2

「矯正歯科と美容の歯科のコラボレーション」治療です。
複数分野の治療を要するため、医師の治療レベルが高くないとできない治療です。

セラミック矯正治療のリスク

  • セラミックを被せるため、健康な歯を削ったり神経を抜いたりする場合がある。
  • 歯の神経の治療が必要な場合は、歯の根の破折、歯の神経の再治療などの可能性があり、ごく稀だが、最悪の場合は歯を抜かなくてはならない場合もある。
  • セラミックは天然の歯と同じように使用する事には問題はないが比べて強いわけではなく、突発的な強い衝撃(事故など)が加わると破損する可能性がある。

ワイヤー矯正のリスク

  • ワイヤーを使用するので、見た目の悪さが気になる場合がある。
  • 隙間に食べた物が挟まりやすく、口腔ケアをしっかり行う必要がある。
  • 矯正に痛みを伴う。
  • 状態により抜歯をする必要がある。

ワイヤー矯正

通常期ワイヤー矯正
¥878,240(税込)

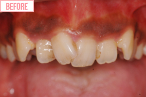
症例1:H.I様

  • ワイヤー矯正施術前1
  • ワイヤー矯正施術後1

ワイヤー矯正は、歯の表面に板状のブラケットという装置を取り付け、それらをワイヤーでつなぎ、時間をかけて少しずつ歯を動かしていくものです。最も一般的な矯正法であり、多くの実績があります。歯を一切削ることなく、天然の歯のままで治療ができるので、時間がかかっても自然な歯並びを望まれる方におすすめしています。

症例2:I.M様

  • ワイヤー矯正施術前2
  • ワイヤー矯正施術後2

ワイヤー矯正は、歯の表面に板状のブラケットという装置を取り付け、それらをワイヤーでつなぎ、時間をかけて少しずつ歯を動かしていくものです。最も一般的な矯正法であり、多くの実績があります。歯を一切削ることなく、天然の歯のままで治療ができるので、時間がかかっても自然な歯並びを望まれる方におすすめしています。

ワイヤー矯正のリスク

  • ワイヤーを使用するので、見た目の悪さが気になる場合がある。
  • 隙間に食べた物が挟まりやすく、口腔ケアをしっかり行う必要がある。
  • 矯正に痛みを伴う。
  • 状態により抜歯をする必要がある。

短期ワイヤー矯正 ¥350,240(税込)

  • 短期ワイヤー矯正施術前
  • 短期ワイヤー矯正施術後

ワイヤー矯正は、歯の表面に板状のブラケットという装置を取り付け、それらをワイヤーでつなぎ、時間をかけて少しずつ歯を動かしていくものです。最も一般的な矯正法であり、多くの実績があります。歯を一切削ることなく、天然の歯のままで治療ができるので、時間がかかっても自然な歯並びを望まれる方におすすめしています。

ワイヤー矯正のリスク

  • ワイヤーを使用するので、見た目の悪さが気になる場合がある。
  • 隙間に食べた物が挟まりやすく、口腔ケアをしっかり行う必要がある。
  • 矯正に痛みを伴う。
  • 状態により抜歯をする必要がある。

ダイエット矯正 ¥350,240(税込)

  • ダイエット矯正施術前
  • ダイエット矯正施術後

片あごにある4~6本の歯を影響のない範囲で少しずつ削り、合計して歯1本分のスペースを確保します。その空いたスペースに歯を移動させて歯列を整えるという治療方法です。

ダイエット矯正治療のリスク

  • 健康な歯を一部削ることになり、歯がしみたりする場合がある。
  • 矯正に痛みを伴う。
  • 状態により神経を抜く必要がある。
  • 状態により抜歯をする必要がある。

通常期ワイヤー矯正
¥878,240(税込)

  • 通常期ワイヤー矯正施術前1
  • 通常期ワイヤー矯正施術後1

上記の写真と下記の写真は同一症例で、それぞれ別の角度から撮影した写真となります。

  • 通常期ワイヤー矯正施術前2
  • 通常期ワイヤー矯正施術後2

ワイヤー矯正は、歯の表面に板状のブラケットという装置を取り付け、それらをワイヤーでつなぎ、時間をかけて少しずつ歯を動かしていくものです。最も一般的な矯正法であり、多くの実績があります。歯を一切削ることなく、天然の歯のままで治療ができるので、時間がかかっても自然な歯並びを望まれる方におすすめしています。

ワイヤー矯正のリスク

  • ワイヤーを使用するので、見た目の悪さが気になる場合がある。
  • 隙間に食べた物が挟まりやすく、口腔ケアをしっかり行う必要がある。
  • 矯正に痛みを伴う。
  • 状態により抜歯をする必要がある。

片側 通常期ワイヤー矯正
¥433,400(税込)

  • 片側 通常期ワイヤー矯正施術前1
  • 片側 通常期ワイヤー矯正施術後1

上記の写真と下記の写真は同一症例で、それぞれ別の角度から撮影した写真となります。

  • 片側 通常期ワイヤー矯正施術前2
  • 片側 通常期ワイヤー矯正施術後2
  • 短期ワイヤー矯正
  • ダイエット矯正
  • ファーストワイヤー矯正
  • 通常期ワイヤー矯正
  • 片側 通常期ワイヤー矯正

ワイヤー矯正は、歯の表面に板状のブラケットという装置を取り付け、それらをワイヤーでつなぎ、時間をかけて少しずつ歯を動かしていくものです。最も一般的な矯正法であり、多くの実績があります。歯を一切削ることなく、天然の歯のままで治療ができるので、時間がかかっても自然な歯並びを望まれる方におすすめしています。

ワイヤー矯正のリスク

  • ワイヤーを使用するので、見た目の悪さが気になる場合がある。
  • 隙間に食べた物が挟まりやすく、口腔ケアをしっかり行う必要がある。
  • 矯正に痛みを伴う。
  • 状態により抜歯をする必要がある。

マウスピース矯正、
インビザライン
(検査+インビザラインフル)
など
¥350,240~¥658,680 (税込)

  • 見えない外せる矯正施術前
  • 見えない外せる矯正施術後

取り外し可能なマウスピースを使った方法です。ワイヤーのように目立たず、食事中には取り外すこともでき、外して洗えるので歯磨きが通常通り行え、衛生面でも安心です。
矯正中の痛みも少なく、金属を使用しないので金属アレルギーの方でも安心して治療できます。

マウスピース矯正・インビザラインのリスク

  • 適応が限られる
  • 慣れるまで話しづらい
  • 食事の時、熱い飲み物を飲む時は外さなければならない
  • 紛失、破損の危険性がある
  • マウスピースを使用しないと動かない

オールセラミック人工歯
1歯 ¥53,680(税込)

症例1:Y.N様(1本)

  • セラミック人工歯施術前1
  • セラミック人工歯施術後1

クラウン法とは、形の悪い差し歯、被せ物を治したり、むし歯で歯が欠けている場合などに用いられる方法です。材質をさまざま選べますが、保険診療で扱うような色調が元の歯とそろっていない人工歯は使用しないために、見た目が非常に自然に近い色調に合わせることができます。

症例2:K.H様(4本)

  • セラミック人工歯施術前2
  • セラミック人工歯施術後2

セラミック治療は審美性がとても高く、歯との接着もしっかりしている上、プラークも付着しにくいため二次むし歯を予防できます。
金属を使用しないので金属アレルギーの方も安心して治療できます。

セラミック治療のリスク

  • セラミックを被せるため、健康な歯を削ったり神経を抜いたりする場合がある。
  • 歯の神経の治療が必要な場合は、歯の根の破折、歯の神経の再治療などの可能性があり、ごく稀だが、最悪の場合は歯を抜かなくてはならない場合もある。
  • セラミックは天然の歯と同じように使用する事には問題はないが比べて強いわけではなく、突発的な強い衝撃(事故など)が加わると破損する可能性がある。

歯に貼るセラミック1歯
¥43,780(税込)

  • 歯に貼るセラミック施術前
  • 歯に貼るセラミック施術後

歯に貼るセラミックとは、歯の表面を0.5mm程削り、そこにネイルチップのような薄い人工歯を貼り付ける治療方法です。
歯の形が悪い、歯の色が悪い、すきっ歯を治したいなどのご要望にお応えできます。
歯を削る量が少なく、治療回数も少なくて済み、麻酔が不要で痛みもありません。

歯に貼るセラミック治療のリスク

  • 削る量はとても少ないが、歯の表面を削る必要がある。
  • その処置によって歯の寿命が短くなる可能性がある。
  • 色の改善に限界がある。
  • セラミックが薄い為、歯ぎしりや噛み合わせなどによって極まれに割れてしまうことがある。
  • 歯の向きは変えられない。

オールセラミックインレー
(IPS e-maxセラミック使用)
1歯 ¥24,860(税込)

小さいむし歯
強化プラスチック充てん1歯
¥11,000(税込)

  • セラミック・強化プラスチックのつめ物施術前
  • セラミック・強化プラスチックのつめ物施術後

むし歯で削った部分をセラミックで詰め替えたり、強化プラスチックを充てんしたりする治療法です。
インレーはセラミックで作った白い詰め物を詰める治療、強化プラスチック充てんは、歯科治療において頻繁に使用されている耐磨耗性を高めるために合成樹脂と無機物を混合した天然歯のような白いプラスチックの詰め物を詰める治療です。
どちらも金属を使用しないので金属アレルギーの方も安心して治療できます。

インレーはセラミックを使用するので、透明感のある自然な歯が再現でき、変色せず、天然歯に近い硬さで銀歯に比べると歯との接着もしっかりしているため二次むし歯が予防できる利点があります。
また、強化プラスチック充てんは処置が一日で終わり、色が歯と同じなので目立たず、歯を削る量も少ないなど、様々な利点があります。

インレー治療のリスク

  • むし歯の治療により歯を削ったり神経を抜いたりする場合がある。
  • その処置によって歯の寿命が短くなる可能性がある。
  • はぎしりや食いしばりなど、強い力が加わると削れたり欠けたりする可能性がある。

強化プラスチック充てん治療のリスク

  • 長年経過すると変色する可能性がある。
  • その処置によって歯の寿命が短くなる可能性がある。
  • むし歯の治療により歯を削ったり神経を抜いたりする場合がある。
  • はぎしりや食いしばりなど、強い力が加わると削れたり欠けたりする可能性がある。

クリスタル・ホワイト(上下20本)
【45分照射】
¥27,104(税込)

  • ホワイトニング施術前1
  • ホワイトニング施術後1

上記の写真と下記の写真は別症例となりますが、同様のホワイトニングの処置を施しています。

  • ホワイトニング施術前2
  • ホワイトニング施術後2

長い年月をかけて歯に沈着してしまった色素を、歯を削る必要もなく、1回~数回の短時間治療で薬剤により漂白し、本来の白さを取り戻します。

ホワイトニングのリスク

  • 一時的に歯が弱くなる為、ホワイトニングの施術後、歯がしみたり痛みを感じたりする事がある。
  • 効果が永続的ではない。
  • 施術直後から48時間は着色しやすい飲食物を避ける。

歯ぐきのライン調整(片側)
¥52,800(税込)

  • 歯ぐきの整形施術前1
  • 歯ぐきの整形施術後1

上記の写真と下記の写真、さらにその下記の写真はそれぞれ別症例となります。それぞれ歯ぐきの整形を行っています。

  • 歯ぐきの整形施術前2
  • 歯ぐきの整形施術後2

上記の写真、さらにその上記の写真と下記の写真はそれぞれ別症例となります。それぞれ歯ぐきの整形を行っています。

  • 歯ぐきの整形施術前3
  • 歯ぐきの整形施術後3

ガミースマイルなど、口を開いた時に目立ちすぎる歯ぐきや、歯ぐきのラインが揃っていない場合には歯肉の整形がおすすめです。
短時間で終わり、麻酔を用いますので痛みを感じることはほとんどなく、施術に際しては極細の糸を使用しますので、傷跡も目立ちにくいです。

歯ぐきの整形のリスク

  • わずかだが後戻りの可能性がある。
  • 2週間前後、赤味や微出血することがある。
  • 術後、一時的に痛みが残ることがある。

アクセス access