美容専門の歯科 表参道デンタルクリニック
  • Top
  • 料金表
  • 症例
  • メニュー
  • 診療メニュー
    • 審美歯科
      • 審美歯科とは?
      • セラミック矯正
      • セラミック歯
      • 歯に貼るセラミック
        (ラミネーべニア)
      • セラミック・
        強化プラスチックの詰め物
      • ホワイトニング
      • クリーニング
    • 矯正歯科
      • 矯正歯科の一覧
      • 症状別歯列矯正
      • セラミック矯正
      • アクトレス矯正
      • インビザライン
      • 見えない外せる矯正
      • ダイエット矯正
      • 短期ワイヤー矯正
      • 通常期ワイヤー矯正
      • 歯並び
        他医院修正・後もどり矯正
      • セットバック法
        (出っ歯・受け口の修正)
    • 歯肉整形
      • ガミースマイル治療
        (歯ぐきの整形)
    • 美容歯科
      • ホワイトニング
      • セラミック歯
      • 歯に貼るセラミック
        (ラミネーベニア)
    • インプラント
      • インプラント
      • 入れ歯
  • ドクター
  • コンセプト
  • アクセス
  • コラム
美容専門の歯科 表参道デンタルクリニック
tel.
03-6459-2799

[ 電話受付時間 09:50~22:00 ]

365日・土日祝日対応

  • Top
  • 料金表
  • 症例
  • メニュー
  • 診療メニュー
    • 審美歯科
      • 審美歯科とは?
      • セラミック矯正
      • セラミック歯
      • 歯に貼るセラミック
        (ラミネーべニア)
      • セラミック・
        強化プラスチックの詰め物
      • ホワイトニング
      • クリーニング
    • 矯正歯科
      • 矯正歯科の一覧
      • 症状別歯列矯正
      • セラミック矯正
      • アクトレス矯正
      • インビザライン
      • 見えない外せる矯正
      • ダイエット矯正
      • 短期ワイヤー矯正
      • 通常期ワイヤー矯正
      • 歯並び
        他医院修正・後もどり矯正
      • セットバック法
        (出っ歯・受け口の修正)
    • 歯肉整形
      • ガミースマイル治療
        (歯ぐきの整形)
    • 美容歯科
      • ホワイトニング
      • セラミック歯
      • 歯に貼るセラミック
        (ラミネーベニア)
    • インプラント
      • インプラント
      • 入れ歯
  • ドクター
  • コンセプト
  • アクセス
  • コラム
tel.
03-6459-2799

[ 電話受付時間 09:50~22:00 ]

365日・土日祝日対応

見えない外せる矯正

  1. TOP
  2. メニュー
  3. 矯正歯科一覧
  4. 見えない外せる矯正

誰にも気づかれずに、
いつの間にかキレイな歯並びに

マウスピース矯正 ¥350,240(税込)

インビザライン
(検査+インビザラインフル)
¥658,680(税込)

  • 治療前
  • 透明のトレーを被せる

通常のワイヤーとブラケットを用いた歯列矯正の方法ではなく、透明のマウスピースのようなプラスチック製の装置(トレー)を歯に装着することで、歯を正常な位置に動かします。
トレーは日常生活の中で取り外しできます。「食事の時」「人と会う時」「歯を磨く時」などにトレーを外すことができ、従来の取り外しできない矯正装置と比べると生活への負担が少ないです。
また治療期間や効果も、通常の歯列矯正とそれほど変わりません。
そしてなによりの利点は、装着していても外見上ほとんど分からないということです。歯列矯正というと従来のワイヤーとブラケットが目立つというイメージがありましたが、透明なマウスピースの形状のものを用いるので目立ちにくいのです。

見えない外せる矯正のメリット

  • 透明で目立たない
  • 取り外しができて衛生的
  • 手軽に使用できる
  • 金属アレルギーを引き起こす心配がない

こんな方におすすめ

  • ワイヤーやブラケットの装置に抵抗を感じている方
  • できるだけ歯にかかる負担を少なくしたい方
  • 金属アレルギーがある方

※抜歯をしないと歯を動かせないケースでは、使用できないことがあります。

見えない外せる矯正の
無料カウンセリング受付中!!

tel.
03-6459-2799

見えない外せる矯正治療の料金表

■ 見えない外せる矯正

歯列の美しさ ★★★★☆
治療中の装置 目立たない
保険適用 なし
値段 350,240円(税込)
矯正歯科の料金一覧

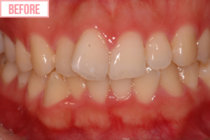
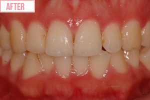
症例写真

  • 矯正前
  • 矯正後

取り外し可能なマウスピースを使った方法です。従来のワイヤーとブラケットの装置のように目立たず、食事中などには取り外せて、洗うこともできます。また歯みがきも通常通り行えるので、衛生面でも安心です。
矯正中の痛みも少なく、金属を使用しないので金属アレルギーの方でも安心して治療できます。

マウスピース矯正・インビザラインのリスク

  • 適応が限られる
  • 慣れるまで話しづらい
  • 食事の時、熱い飲み物を飲む時は外さなければならない
  • 紛失、破損の危険性がある
  • マウスピースを使用しないと動かない

見えない外せる矯正の
無料カウンセリング受付中!!

tel.
03-6459-2799
  • ⇒インビザライン治療については
    こちら
  • ⇒歯科治療メニュー一覧

アクセス access

表参道デンタルクリニック

〒107-0061
東京都港区北青山3-5-9 カプリ北青山
(旧中央珈琲本社ビル)6F

※表参道駅 A3出口より徒歩3分 青山通り沿いです

© 2025 OMOTESANDO DENTAL CLINIC
↑