美容専門の歯科 表参道デンタルクリニック
  • Top
  • 料金表
  • 症例
  • メニュー
  • 診療メニュー
    • 審美歯科
      • 審美歯科とは?
      • セラミック矯正
      • セラミック歯
      • 歯に貼るセラミック
        (ラミネーべニア)
      • セラミック・
        強化プラスチックの詰め物
      • ホワイトニング
      • クリーニング
    • 矯正歯科
      • 矯正歯科の一覧
      • 症状別歯列矯正
      • セラミック矯正
      • アクトレス矯正
      • インビザライン
      • 見えない外せる矯正
      • ダイエット矯正
      • 短期ワイヤー矯正
      • 通常期ワイヤー矯正
      • 歯並び
        他医院修正・後もどり矯正
      • セットバック法
        (出っ歯・受け口の修正)
    • 歯肉整形
      • ガミースマイル治療
        (歯ぐきの整形)
    • 美容歯科
      • ホワイトニング
      • セラミック歯
      • 歯に貼るセラミック
        (ラミネーベニア)
    • インプラント
      • インプラント
      • 入れ歯
  • ドクター
  • コンセプト
  • アクセス
  • コラム
美容専門の歯科 表参道デンタルクリニック
tel.
03-6459-2799

[ 電話受付時間 09:50~22:00 ]

365日・土日祝日対応

  • Top
  • 料金表
  • 症例
  • メニュー
  • 診療メニュー
    • 審美歯科
      • 審美歯科とは?
      • セラミック矯正
      • セラミック歯
      • 歯に貼るセラミック
        (ラミネーべニア)
      • セラミック・
        強化プラスチックの詰め物
      • ホワイトニング
      • クリーニング
    • 矯正歯科
      • 矯正歯科の一覧
      • 症状別歯列矯正
      • セラミック矯正
      • アクトレス矯正
      • インビザライン
      • 見えない外せる矯正
      • ダイエット矯正
      • 短期ワイヤー矯正
      • 通常期ワイヤー矯正
      • 歯並び
        他医院修正・後もどり矯正
      • セットバック法
        (出っ歯・受け口の修正)
    • 歯肉整形
      • ガミースマイル治療
        (歯ぐきの整形)
    • 美容歯科
      • ホワイトニング
      • セラミック歯
      • 歯に貼るセラミック
        (ラミネーベニア)
    • インプラント
      • インプラント
      • 入れ歯
  • ドクター
  • コンセプト
  • アクセス
  • コラム
tel.
03-6459-2799

[ 電話受付時間 09:50~22:00 ]

365日・土日祝日対応

通常期ワイヤー矯正

  1. TOP
  2. メニュー
  3. 矯正歯科一覧
  4. 通常期ワイヤー矯正

目立たず、確実に!
キレイな仕上がり!
新しい手法で急速に矯正

歯列矯正には様々な方法がありますが、当院で最も一般的な方法の一つが「通常期ワイヤー矯正」です。

重度の出っ歯、重度の受け口、
重度の開咬、重度の八重歯

など、大きくズレのある歯ならびを飛躍的に改善する歯列矯正です。
この治療では多くの場合、一部の歯を抜いてスペースを作り、歯を動かすことになります(状態により、抜歯をしないこともあります)。
この場合も、短期ワイヤー矯正と同様に早く!確実!キレイに!歯を動かしていきます。

こんな方におすすめ

  • 口元を引き下げたい
  • 受け口を改善したい
  • 出っ歯をキレイにしたい
  • 八重歯が激しい

通常期ワイヤー矯正の種類

  • 通常期ワイヤー矯正 最も一般的な矯正法で多くの実績があります。
    ブラケット+ワイヤーで急速かつキレイな仕上がり!
  • 片側 通常期ワイヤー矯正 上側と下側、どちらか片方だけ歯ならびが悪い人におすすめ!
    片側だけのワイヤー矯正を行います。

矯正器具(ブラケット)の種類

  • メタルブラケット

    金属性の最も一般的な矯正装置。メリットは薄くて丈夫、治療費も安く抑えられること。
    デメリットは他の矯正装置に比べると目立ってしまうことです。

    ※当院でのお取扱いはございません。

  • セラミックブラケット

    セラミックでできた矯正装置。透明なので目立ちません。
    多少割高となり、治療期間も少し長くなる傾向があります。

  • プラスチックブラケット

    プラスチックでできた矯正装置。セラミックと同様透明なので目立ちません。
    歯に強く接着でき、治療期間はメタルブラケットと変わらず短くなります。

  • 舌側矯正(リンガル法)

    リンガル法は文字通り舌側=歯の裏側から行う「見えない矯正法」です。
    歯の表側に装置を付ける通常のワイヤー矯正に比べ、外からは全く見えなくなるので、誰にも気づかれずに治療をすることができます。

    ※舌側矯正(リンガル法)は短期ワイヤー矯正、通常期ワイヤー矯正とは別メニューです。

通常期ワイヤー矯正治療の料金表

■ 通常期ワイヤー矯正

歯列の美しさ ★★★★★
治療中の装置 あまり目立たない
保険適用 なし
値段 878,240円(税込)

■ 片側 通常期ワイヤー矯正

歯列の美しさ ★★★★☆
治療中の装置 あまり目立たない
保険適用 なし
値段 433,400円(税込)
矯正歯科の料金一覧

症例写真

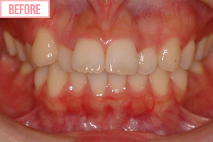
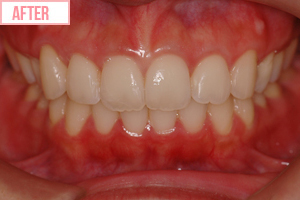
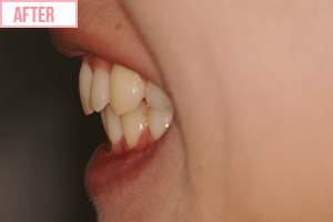
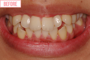
通常期ワイヤー矯正 ¥878,240(税込)

  • 通常期ワイヤー矯正施術前1
  • 通常期ワイヤー矯正施術後1
  • 通常期ワイヤー矯正施術前2
  • 通常期ワイヤー矯正施術後2

片側 通常期ワイヤー矯正
¥433,400(税込)

  • 片側 通常期ワイヤー矯正施術前1
  • 片側 通常期ワイヤー矯正施術後1
  • 片側 通常期ワイヤー矯正施術前2
  • 片側 通常期ワイヤー矯正施術後2

ワイヤー矯正は、歯の表面に板状のブラケットという装置を取り付け、それらをワイヤーでつなぎ、時間をかけて少しずつ歯を動かしていくものです。最も一般的な矯正法であり、多くの実績があります。歯を一切削ることなく、天然の歯のままで治療ができます。

ワイヤー矯正のリスク

  • ワイヤーを使用するので、見た目の悪さが気になる場合がある。
  • 隙間に食べた物が挟まりやすく、口腔ケアをしっかり行う必要がある。
  • 矯正に痛みを伴う。
  • 状態により抜歯をする必要がある。
矯正歯科の料金
⇒歯科治療メニュー一覧

アクセス access

表参道デンタルクリニック

〒107-0061
東京都港区北青山3-5-9 カプリ北青山
(旧中央珈琲本社ビル)6F

※表参道駅 A3出口より徒歩3分 青山通り沿いです

© 2025 OMOTESANDO DENTAL CLINIC
↑