美容専門の歯科 表参道デンタルクリニック
  • Top
  • 料金表
  • 症例
  • メニュー
  • 診療メニュー
    • 審美歯科
      • 審美歯科とは?
      • セラミック矯正
      • セラミック歯
      • 歯に貼るセラミック
        (ラミネーべニア)
      • セラミック・
        強化プラスチックの詰め物
      • ホワイトニング
      • クリーニング
    • 矯正歯科
      • 矯正歯科の一覧
      • 症状別歯列矯正
      • セラミック矯正
      • アクトレス矯正
      • インビザライン
      • 見えない外せる矯正
      • ダイエット矯正
      • 短期ワイヤー矯正
      • 通常期ワイヤー矯正
      • 歯並び
        他医院修正・後もどり矯正
      • セットバック法
        (出っ歯・受け口の修正)
    • 歯肉整形
      • ガミースマイル治療
        (歯ぐきの整形)
    • 美容歯科
      • ホワイトニング
      • セラミック歯
      • 歯に貼るセラミック
        (ラミネーベニア)
    • インプラント
      • インプラント
      • 入れ歯
  • ドクター
  • コンセプト
  • アクセス
  • コラム
美容専門の歯科 表参道デンタルクリニック
tel.
03-6459-2799

[ 電話受付時間 09:50~22:00 ]

365日・土日祝日対応

  • Top
  • 料金表
  • 症例
  • メニュー
  • 診療メニュー
    • 審美歯科
      • 審美歯科とは?
      • セラミック矯正
      • セラミック歯
      • 歯に貼るセラミック
        (ラミネーべニア)
      • セラミック・
        強化プラスチックの詰め物
      • ホワイトニング
      • クリーニング
    • 矯正歯科
      • 矯正歯科の一覧
      • 症状別歯列矯正
      • セラミック矯正
      • アクトレス矯正
      • インビザライン
      • 見えない外せる矯正
      • ダイエット矯正
      • 短期ワイヤー矯正
      • 通常期ワイヤー矯正
      • 歯並び
        他医院修正・後もどり矯正
      • セットバック法
        (出っ歯・受け口の修正)
    • 歯肉整形
      • ガミースマイル治療
        (歯ぐきの整形)
    • 美容歯科
      • ホワイトニング
      • セラミック歯
      • 歯に貼るセラミック
        (ラミネーベニア)
    • インプラント
      • インプラント
      • 入れ歯
  • ドクター
  • コンセプト
  • アクセス
  • コラム
tel.
03-6459-2799

[ 電話受付時間 09:50~22:00 ]

365日・土日祝日対応

アクトレス矯正

  1. TOP
  2. メニュー
  3. 矯正歯科一覧
  4. アクトレス矯正

矯正歯科と美容の歯科の
コラボレートによる柔軟な矯正

最新!Dr.飯島オリジナル

アクトレス矯正は、Dr.飯島が世界で初めて提案した新しい歯列矯正の考え。
UPLO(Upper Prothodontic & Lower Orthodontic)を用いたテクニックで、「矯正歯科と美容の歯科のコラボレーション」です。

  • 施術前
  • 上はセラミック、下はワイヤー矯正

アクトレス矯正とは
上の歯をオールセラミッククラウンで
歯列をキレイにし、
下の歯は歯列矯正で
歯を動かすという治療方法

しかしまだ、世界でも施術可能な歯科医師は多くありません。
その理由は、複数分野の治療レベルが高くないと治療できないからです。

歯列矯正、美容歯科
両方の高度な技術・経験・知識が
必要な治療方法!

歯列矯正の二つの専門分野

  • ワイヤーで歯ならびを変えていく矯正歯科医
  • セラミッククラウンなどの人工歯で歯ならびをキレイにする美容歯科医

日本では歯科医師が溢れ返ってしまったために、各医師はそれぞれの専門分野に所属することになりました。そしてそれは同時に、その分野しかできないことを意味します。
今日の歯科医療が細分化された業界においては、総合的な歯科医療を実践できる歯科医師は数少なくなっています。

また各専門分野の知識・技術・経験を得るためには時間もかかるため、複数の分野をカバーできる歯科医師は稀であるという現状があります。
そのため分野を超えた理想的な矯正治療が、なかなか受けられなくなってしまっています。

しかしDr.飯島はアメリカ最高峰の歯学部「UCLA」で学び、日本では多くの歯科医師の歯列矯正治療の教育も行っている、Dr.の教師です。
当たり前の良い治療を当たり前のものとして、皆様にご提供します。しかももちろん安心価格で。

アクトレス矯正
無料カウンセリング受付中!!

tel.
03-6459-2799

アクトレス矯正のメリット

  • 下の歯を削らない

    下の歯は歯の厚さが薄いため、削って治療を行うと、歯の神経を取らなくはなりませんでした。
    歯の神経を取ってしまうと枯れ枝と同じように歯が折れやすくなり、歯の寿命を短くしてしまいます。
    下の歯は矯正を行うため、歯を削らずに歯ならびをキレイにできるという大きな利点があります。

  • 目立たない矯正

    下の歯は下唇に隠れることが多く、矯正装置を着けていてもほとんど目立ちません。
    また矯正装置自体も、透明の目立ちにくいものを使用します。
    矯正装置を着けると目立ってしまう上の歯は、セラミッククラウン法による治療を行いますので、そもそも装置を使用しません。

  • 自由な色・形・透明感

    上の歯は歯の厚さが厚いため、削ってしまっても神経を残して治療ができることが多いので、時間をかけずにキレイな歯を得ることができます。
    最高級の仕上がりのセラミックを用いて、上の歯ならびを仕上げます。天然の歯と見間違えるような自然な透明感からマット仕上げまで自由に選んでいただけます。
    同様に、色もまっ白なものから周囲の歯にマッチする自然な色まで、形も丸い可愛らしい形状から男らしい四角い形状まで、全てお好みに応じて仕上げます。
    歯の大きさ、形、角度、位置、色、透明感にこだわった、自由なデザインを提供します。

    問題が起こりやすい歯とセラミック歯の境目の隙間も、日本人美容専門技師による精度の高い顕微鏡仕上で、ぴったりと装着されます。

  • 短い治療期間

    アクトレス矯正では、上の歯をセラミッククラウン法で行うため、前歯の噛み合わせは矯正した下の歯にあわせて自由に設計できます。
    そのため、時間のかかる歯列矯正による噛み合わせの調整を行わないため、治療期間が短くなります。

  • いろいろな歯列に対応

    • 歯の根が唇にあたる感じ
    • 出っ歯
    • すきっ歯
    • 1本とび出している歯
    • 回転、曲がって生えた歯

など、いろいろな歯列に適応できます。

アクトレス矯正
無料カウンセリング受付中!!

tel.
03-6459-2799

アクトレス矯正治療の料金表

■ アクトレス矯正

歯列の美しさ ★★★★★
治療中の装置 あまり目立たない
保険適用 なし
値段 アクトレス
矯正4
619,190円(税込)
アクトレス
矯正6
791,340円(税込)
矯正歯科の料金一覧

症例写真

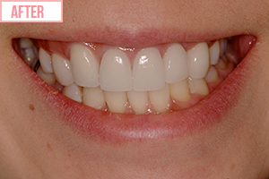
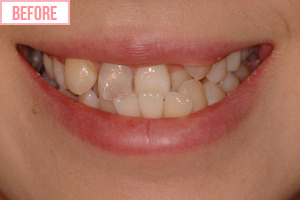
アクトレス矯正6 ¥791,340(税込)

  • クトレス矯正6施術前
  • クトレス矯正6施術後

アクトレス矯正とは、上の歯を補綴(ほてつ)、つまりオールセラミック歯で歯列をキレイにし、下の歯列は矯正で歯を動かすという歯列矯正方法です。
「矯正歯科と美容の歯科のコラボレーション」治療であり、複数分野の治療を要するため、医師の治療レベルが高くないとできない治療です。

  • セラミック治療のリスク

    • セラミックを被せるため、健康な歯を削ったり神経を抜いたりする場合がある
    • 歯の神経の治療が必要な場合は、歯の根の破折、歯の神経の再治療などの可能性があり、ごく稀だが、最悪の場合は歯を抜かなくてはならない場合もある
    • セラミックは天然の歯と同じように使用する事には問題はないが、特に強度が強いわけではなく、突発的な強い衝撃(事故など)が加わると破損する可能性がある
  • ワイヤー矯正のリスク

    • ワイヤーを使用するので、歯列の悪さが気になる場合がある。
    • 隙間に食べた物が挟まりやすく、口腔ケアをしっかり行う必要がある。
    • 矯正に痛みを伴う。
    • 状態により抜歯をする必要がある。

アクトレス矯正
無料カウンセリング受付中!!

tel.
03-6459-2799
⇒歯科治療メニュー一覧

アクセス access

表参道デンタルクリニック

〒107-0061
東京都港区北青山3-5-9 カプリ北青山
(旧中央珈琲本社ビル)6F

※表参道駅 A3出口より徒歩3分 青山通り沿いです

© 2025 OMOTESANDO DENTAL CLINIC
↑