美容専門の歯科 表参道デンタルクリニック
  • Top
  • 料金表
  • 症例
  • メニュー
  • 診療メニュー
    • 審美歯科
      • 審美歯科とは?
      • セラミック矯正
      • セラミック歯
      • 歯に貼るセラミック
        (ラミネーべニア)
      • セラミック・
        強化プラスチックの詰め物
      • ホワイトニング
      • クリーニング
    • 矯正歯科
      • 矯正歯科の一覧
      • 症状別歯列矯正
      • セラミック矯正
      • アクトレス矯正
      • インビザライン
      • 見えない外せる矯正
      • ダイエット矯正
      • 短期ワイヤー矯正
      • 通常期ワイヤー矯正
      • 歯並び
        他医院修正・後もどり矯正
      • セットバック法
        (出っ歯・受け口の修正)
    • 歯肉整形
      • ガミースマイル治療
        (歯ぐきの整形)
    • 美容歯科
      • ホワイトニング
      • セラミック歯
      • 歯に貼るセラミック
        (ラミネーベニア)
    • インプラント
      • インプラント
      • 入れ歯
  • ドクター
  • コンセプト
  • アクセス
  • コラム
美容専門の歯科 表参道デンタルクリニック
tel.
03-6459-2799

[ 電話受付時間 09:50~22:00 ]

365日・土日祝日対応

  • Top
  • 料金表
  • 症例
  • メニュー
  • 診療メニュー
    • 審美歯科
      • 審美歯科とは?
      • セラミック矯正
      • セラミック歯
      • 歯に貼るセラミック
        (ラミネーべニア)
      • セラミック・
        強化プラスチックの詰め物
      • ホワイトニング
      • クリーニング
    • 矯正歯科
      • 矯正歯科の一覧
      • 症状別歯列矯正
      • セラミック矯正
      • アクトレス矯正
      • インビザライン
      • 見えない外せる矯正
      • ダイエット矯正
      • 短期ワイヤー矯正
      • 通常期ワイヤー矯正
      • 歯並び
        他医院修正・後もどり矯正
      • セットバック法
        (出っ歯・受け口の修正)
    • 歯肉整形
      • ガミースマイル治療
        (歯ぐきの整形)
    • 美容歯科
      • ホワイトニング
      • セラミック歯
      • 歯に貼るセラミック
        (ラミネーベニア)
    • インプラント
      • インプラント
      • 入れ歯
  • ドクター
  • コンセプト
  • アクセス
  • コラム
tel.
03-6459-2799

[ 電話受付時間 09:50~22:00 ]

365日・土日祝日対応

短期ワイヤー矯正

  1. TOP
  2. メニュー
  3. 矯正歯科一覧
  4. 短期ワイヤー矯正

キレイに!急速に!
歯ならび・かみ合わせを
キレイにする矯正手法と
矯正器具(ブラケット)で
急速治療が可能に!

短期ワイヤー矯正とは?

  • 短期ワイヤー矯正施術前
  • 短期ワイヤー矯正上下共にワイヤー

歯列矯正には様々な方法がありますが、当院で最も一般的な方法の一つが「短期ワイヤー矯正」というものです。

早い!確実!キレイ!

ワイヤー矯正とは、歯の表面に板状のブラケットという装置を取り付け、それらをワイヤーでつなぎ、時間をかけて少しずつ歯を動かしていくものです。
装置を歯の表側に付ける「ラビアル法」と歯の裏側に付ける「リンガル法」の2つの方法があります。
状態は人によって様々ですので、患者様一人ひとりに合わせて方法を選択します。

この治療法のメリットは、治療期間が短く、確実性が高く、微調整も簡単に行え、料金も安く済むことです。

透明な矯正装置
(ブラケット)を使用!

矯正中に歯に装着させる装置を「目立たせたくない!」という要望が多くあり、若い人には敬遠されがちな面もあります。
通常この装置は金属製ですが、当院では目立ちにくい透明なプラスチック製のものや歯と同じ色のセラミック製のものも多く使用しています。

短期ワイヤー矯正の特徴

  • 歯を一切削ることなく、天然の歯のままで治療ができる。
  • 一般的な歯列矯正よりも早くキレイに
  • 多くの実績がある。
  • 無色透明な矯正装置(ブラケット)などを使用
  • 矯正中はむし歯になりやすいので、日頃の手入れが必要

こんな方におすすめ

  • 健康な歯を削るのはイヤな方
  • 確実で実績のある治療を望まれる方

短期ワイヤー矯正の
無料カウンセリング受付中!!

tel.
03-6459-2799

矯正器具(ブラケット)の種類

  • メタルブラケット

    金属性の最も一般的な矯正装置。メリットは薄くて丈夫、治療費も安く抑えられること。
    デメリットは他の矯正装置に比べると目立ってしまうことです。

    ※当院でのお取扱いはございません。

  • セラミックブラケット

    セラミックでできた矯正装置。透明なので目立ちません。
    多少割高となり、治療期間も少し長くなる傾向があります。

  • プラスチックブラケット

    プラスチックでできた矯正装置。セラミックと同様透明なので目立ちません。
    歯に強く接着でき、治療期間はメタルブラケットと変わらず短くなります。

  • 舌側矯正(リンガル法)

    リンガル法は文字通り舌側=歯の裏側から行う「見えない矯正法」です。
    歯の表側に装置を付ける通常のワイヤー矯正に比べ、外からは全く見えなくなるので、誰にも気づかれずに治療をすることができます。

    ※舌側矯正(リンガル法)は短期ワイヤー矯正、通常期ワイヤー矯正とは別メニューです。

短期ワイヤー矯正の
無料カウンセリング受付中!!

tel.
03-6459-2799

短期ワイヤー矯正治療の料金表

■ 短期ワイヤー矯正 片側

歯列の美しさ ★★★★☆
治療中の装置 あまり目立たない
保険適用 なし
値段 350,240円(税込)
矯正歯科の料金一覧

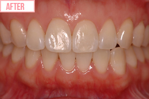
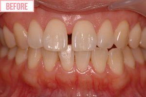
症例写真

短期ワイヤー矯正 ¥350,240(税込)

  • 短期ワイヤー矯正施術前
  • 短期ワイヤー矯正施術後

ワイヤー矯正は、歯の表面に板状のブラケットという装置を取り付け、それらをワイヤーでつなぎ、時間をかけて少しずつ歯を動かしていくものです。最も一般的な矯正法であり、多くの実績があります。歯を一切削ることなく、天然の歯のままで治療ができます。

ワイヤー矯正のリスク

  • ワイヤーを使用するので、見た目の悪さが気になる場合がある。
  • 隙間に食べた物が挟まりやすく、口腔ケアをしっかり行う必要がある。
  • 矯正に痛みを伴う。
  • 状態により抜歯をする必要がある。

短期ワイヤー矯正の
無料カウンセリング受付中!!

tel.
03-6459-2799
⇒歯科治療メニュー一覧

短期ワイヤー治療の
よくあるご質問

  • 目立たない矯正方法はありますか?

    あります。
    インビザラインなどのマウスピース歯科矯正や裏側歯科矯正など目立たない矯正器具があります。状態により選択が出来ます。

  • 治療期間はどのくらいかかりますか?

    治療期間は状態によります。
    歯の動きは1ヶ月で1ミリ前後です。
    短い期間で数週間。長いと4,5年の場合もあります。歯並びの状態で変わります。

  • 歯を抜かずに矯正できますか?

    できます。
    歯を抜かない歯科矯正が適切な場合も多くあります。ただし、歯を抜いた方が綺麗な仕上がりになる場合もあります。
    正確な専門的な検査が必要です。

  • 金属アレルギーでもワイヤー矯正できますか?

    できません。
    マウスピース矯正やセラミック矯正をオススメします。
    金属の種類にもよりますが、歯科矯正に使用する金属のアレルギーがある場合はワイヤー矯正はできません。

  • マウスピース矯正とワイヤー矯正はどちらが良いですか?

    それぞれ利点と欠点、適応な状態があります。専門的な検査をしてどれが最善かを相談いたしましょう。

  • 分割のローンは組めますか?

    できます。
    各種ローンをご準備しております。お気軽にご相談下さい。

  • ワイヤー矯正ができな場合はありますか?

    あります。
    金属アレルギーやその他の原因でワイヤー矯正が不向きな場合もございます。
    他にもマウスピース歯科矯正やセラミック矯正もございます。ご自身にあった治療法をご相談できます。

アクセス access

表参道デンタルクリニック

〒107-0061
東京都港区北青山3-5-9 カプリ北青山
(旧中央珈琲本社ビル)6F

※表参道駅 A3出口より徒歩3分 青山通り沿いです

© 2025 OMOTESANDO DENTAL CLINIC
↑