美容専門の歯科 表参道デンタルクリニック
  • Top
  • 料金表
  • 症例
  • メニュー
  • 診療メニュー
    • 審美歯科
      • 審美歯科とは?
      • セラミック矯正
      • セラミック歯
      • 歯に貼るセラミック
        (ラミネーべニア)
      • セラミック・
        強化プラスチックの詰め物
      • ホワイトニング
      • クリーニング
    • 矯正歯科
      • 矯正歯科の一覧
      • 症状別歯列矯正
      • セラミック矯正
      • アクトレス矯正
      • インビザライン
      • 見えない外せる矯正
      • ダイエット矯正
      • 短期ワイヤー矯正
      • 通常期ワイヤー矯正
      • 歯並び
        他医院修正・後もどり矯正
      • セットバック法
        (出っ歯・受け口の修正)
    • 歯肉整形
      • ガミースマイル治療
        (歯ぐきの整形)
    • 美容歯科
      • ホワイトニング
      • セラミック歯
      • 歯に貼るセラミック
        (ラミネーベニア)
    • インプラント
      • インプラント
      • 入れ歯
  • ドクター
  • コンセプト
  • アクセス
  • コラム
美容専門の歯科 表参道デンタルクリニック
tel.
03-6459-2799

[ 電話受付時間 09:50~22:00 ]

365日・土日祝日対応

  • Top
  • 料金表
  • 症例
  • メニュー
  • 診療メニュー
    • 審美歯科
      • 審美歯科とは?
      • セラミック矯正
      • セラミック歯
      • 歯に貼るセラミック
        (ラミネーべニア)
      • セラミック・
        強化プラスチックの詰め物
      • ホワイトニング
      • クリーニング
    • 矯正歯科
      • 矯正歯科の一覧
      • 症状別歯列矯正
      • セラミック矯正
      • アクトレス矯正
      • インビザライン
      • 見えない外せる矯正
      • ダイエット矯正
      • 短期ワイヤー矯正
      • 通常期ワイヤー矯正
      • 歯並び
        他医院修正・後もどり矯正
      • セットバック法
        (出っ歯・受け口の修正)
    • 歯肉整形
      • ガミースマイル治療
        (歯ぐきの整形)
    • 美容歯科
      • ホワイトニング
      • セラミック歯
      • 歯に貼るセラミック
        (ラミネーベニア)
    • インプラント
      • インプラント
      • 入れ歯
  • ドクター
  • コンセプト
  • アクセス
  • コラム
tel.
03-6459-2799

[ 電話受付時間 09:50~22:00 ]

365日・土日祝日対応

セラミック・
強化プラスチックのつめ物

  1. TOP
  2. メニュー
  3. セラミック歯
  4. セラミック・強化プラスチックのつめ物

大きく口を開けても
大丈夫
天然歯に近い
ナチュラル仕上げ

セラミック矯正についてもっと詳しく
セラミック矯正治療の事例

奥歯がむし歯になった場合、保険診療ではむし歯部分を削って銀歯で埋めることが多いですが、
奥歯が銀歯では見た目がよくありません。
それを強化プラスチックやセラミックでつめ替える治療が可能です。
欠損部が小さい場合は強化プラスチックの充てんを、中程度の場合はセラミックのつめ物の装着を行います。

セラミックのつめ物

セラミックで作った白いつめ物!

セラミックのつめ物は、歯の欠損部が中程度の場合に、セラミックで作った白いつめ物をつめる治療法です。
セラミックは天然歯と見分けがつかないほどの色合いや質感を持っているので、より美しく自然な白い歯に仕上がります。
また、天然の歯に近い硬さなので、噛み合わせる歯を傷つけることもありません。
金属を使用しないため、金属アレルギーの方でも安心して使用できます。

セラミックのつめ物の特徴

  • 透明感のある自然な白い歯を再現できる
  • 変色せず、長い期間、透明感を保てる
  • 天然の歯に近い硬さ
  • 歯としっかり適合し、むし歯ができにくい

こんな方におすすめ

  • 中程度の大きさの金属のつめ物を自然な色で修復したい方
  • 金属アレルギーが心配な方

治療の流れ

  1. 1日目

    金属の除去~むし歯の除去

    金属のつめ物を外してむし歯を除去した後、歯の穴(欠損部)の形をきれいに整えます。

  2. 2日目

    セラミックインレーの作成

    歯を型取りし、その歯型をもとにセラミック製のインレーを作ります。

  3. 3日目

    セラミックインレーの装着

    歯の欠損部分にセラミックインレーを装着し、治療終了となります。

関連コラム:
むし歯治療は審美性の高いセラミックがおすすめ!セラミックを選ぶメリットは?

強化プラスチック充てん

プラスチックに耐摩耗性を
強化する材質を混合

強化プラスチックは、歯科治療において頻繁に使用されている材料で、耐磨耗性を高めるためにプラスチックと無機物を混合したものです。
つめ物だけではなく、欠けた歯の形を修復したり、すきっ歯の治療に用いられるなど、様々な用途で使用されています。
以前は耐久性に欠けていたり、変色しやすいなどの欠点もありましたが、近年ではこれらの問題は材料や技術の進歩とともに大きく改善され、強化プラスチックの利用範囲はますます広がっています。

  • 強化プラスチック充てんbefore
  • 強化プラスチック充てんafter

強化プラスチックの特徴

  • 白いつめ物が比較的安い料金でできる
  • 色の種類も豊富で自然な色が再現できる
  • 天然歯を削る量が少なく1回の治療で済む

こんな方におすすめ

  • 小さい金属のつめ物を白く修復したい方
  • できるだけ費用を抑えたい方
  • 短期間で治療したい方

治療の流れ

  1. 1.金属の除去~むし歯の除去

    金属のつめ物を外してむし歯を除去した後、歯の穴(欠損部)の形をきれいに整えます。

  2. 2.強化プラスチックの充てん

    歯の穴に強化プラスチックを流し込みます。紫外線を当てることによって、硬化します。

つめ物の料金表

  • ■ セラミックのつめ物

    歯列の美しさ ★★★★☆
    耐久性 とても強い
    汚れのつきやすさ とてもつきにくい
    金属使用 なし
    保険適用 なし
    値段 24,860円(税込)
  • ■ 強化プラスチックのつめ物

    歯列の美しさ ★★★☆☆
    耐久性 やや強い
    汚れのつきやすさ つきにくい
    金属使用 なし
    保険適用 なし
    値段 小さい
    つめ物
    11,000(税込)
    大きい
    つめ物
    24,860円(税込)
関連コラム:
セラミック歯の値段は?被せ物1本からの治療料金や相場を徹底解説!
  • 美容の歯科の料金一覧
  • 医療費控除ついて

症例写真

  • オールセラミックインレー
    (IPS e-maxセラミック使用)
    1歯 ¥24,860(税込)
  • 小さいむし歯
    強化プラスチック充てん
    1歯¥11,000(税込)
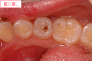
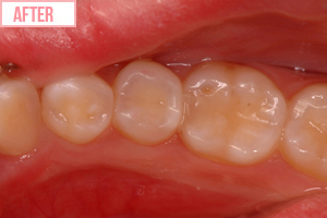
  • 小さいむし歯 強化プラスチック充てん施術前
  • 小さいむし歯 強化プラスチック充てん施術後

むし歯で削った部分をセラミックで詰め替えたり、強化プラスチックを充てんしたりする治療法です。
インレーはセラミックで作った白いつめ物を詰める治療法、強化プラスチック充てんは削った穴に歯のような質感の合成樹脂※を流し込み硬化させる治療法です。
※耐磨耗性を高めるために合成樹脂と無機物を混合した、歯のような質感の白いプラスチック
どちらも金属を使用しないので金属アレルギーの方も安心して治療できます。

インレーはセラミックを使用するので、透明感のある自然な色が再現でき、変色せず天然歯に近い硬さとなります。銀歯に比べると歯との接着もしっかりしているため隙間が少なく、二次むし歯を予防できる利点があります。 強化プラスチック充てんは処置が一日で終わり、色が歯と同じなので目立たず、歯を削る量も少なくすることができるなど様々な利点があります。

  • インレー治療のリスク

    • むし歯の治療により歯を削ったり神経を抜いたりする場合がある
    • その処置によって歯の寿命が短くなる可能性がある
    • 歯ぎしりや食いしばりなど、強い力が加わると削れたり欠けたりする可能性がある
  • 強化プラスチック充てん治療のリスク

    • 時間の経過により変色する可能性がある
    • その処置によって歯の寿命が短くなる可能性がある
    • むし歯の治療により歯を削ったり神経を抜いたりする場合がある
    • 歯ぎしりや食いしばりなど、強い力が加わると削れたり欠けたりする可能性がある

セラミック矯正治療関連ページ

  • セラミック歯
  • セラミック矯正
  • 歯に貼るセラミック

セラミック治療関連コンテンツ

  • 2025年03月12日
    歯を削る!?セラミック矯正のメリット・デメリットと削らない治療
  • 2024年12月09日
    セラミック歯の値段は?被せ物1本からの治療料金や相場を徹底解説!
  • 2023年08月21日
    セラミックの被せ物は保険適用になる?銀歯・CAD/CAM冠の違い
  • 2025年03月12日
    歯を削る!?セラミック矯正のメリット・デメリットと削らない治療
  • 2022年05月24日
    むし歯治療は審美性の高いセラミックがおすすめ!セラミックを選ぶメリットは?
  • 2022年01月06日
    インプラントとセラミックの違いは?治療内容を知ることの大切さ
  • セラミック歯に関するコラム

    セラミック歯に関するコラム

    セラミック歯に関する基礎知識や、治療方法についてご紹介いたします。

  • セラミック歯の治療事例

    セラミック歯の治療事例

    当院におけるセラミック歯の治療事例を掲載しています。

⇒歯科治療メニュー一覧

アクセス access

表参道デンタルクリニック

〒107-0061
東京都港区北青山3-5-9 カプリ北青山
(旧中央珈琲本社ビル)6F

※表参道駅 A3出口より徒歩3分 青山通り沿いです

© 2025 OMOTESANDO DENTAL CLINIC
↑