美容専門の歯科 表参道デンタルクリニック
  • Top
  • 料金表
  • 症例
  • メニュー
  • 診療メニュー
    • 審美歯科
      • 審美歯科とは?
      • セラミック矯正
      • セラミック歯
      • 歯に貼るセラミック
        (ラミネーべニア)
      • セラミック・
        強化プラスチックの詰め物
      • ホワイトニング
      • クリーニング
    • 矯正歯科
      • 矯正歯科の一覧
      • 症状別歯列矯正
      • セラミック矯正
      • アクトレス矯正
      • インビザライン
      • 見えない外せる矯正
      • ダイエット矯正
      • 短期ワイヤー矯正
      • 通常期ワイヤー矯正
      • 歯並び
        他医院修正・後もどり矯正
      • セットバック法
        (出っ歯・受け口の修正)
    • 歯肉整形
      • ガミースマイル治療
        (歯ぐきの整形)
    • 美容歯科
      • ホワイトニング
      • セラミック歯
      • 歯に貼るセラミック
        (ラミネーベニア)
    • インプラント
      • インプラント
      • 入れ歯
  • ドクター
  • コンセプト
  • アクセス
  • コラム
美容専門の歯科 表参道デンタルクリニック
tel.
03-6459-2799

[ 電話受付時間 09:50~22:00 ]

365日・土日祝日対応

  • Top
  • 料金表
  • 症例
  • メニュー
  • 診療メニュー
    • 審美歯科
      • 審美歯科とは?
      • セラミック矯正
      • セラミック歯
      • 歯に貼るセラミック
        (ラミネーべニア)
      • セラミック・
        強化プラスチックの詰め物
      • ホワイトニング
      • クリーニング
    • 矯正歯科
      • 矯正歯科の一覧
      • 症状別歯列矯正
      • セラミック矯正
      • アクトレス矯正
      • インビザライン
      • 見えない外せる矯正
      • ダイエット矯正
      • 短期ワイヤー矯正
      • 通常期ワイヤー矯正
      • 歯並び
        他医院修正・後もどり矯正
      • セットバック法
        (出っ歯・受け口の修正)
    • 歯肉整形
      • ガミースマイル治療
        (歯ぐきの整形)
    • 美容歯科
      • ホワイトニング
      • セラミック歯
      • 歯に貼るセラミック
        (ラミネーベニア)
    • インプラント
      • インプラント
      • 入れ歯
  • ドクター
  • コンセプト
  • アクセス
  • コラム
tel.
03-6459-2799

[ 電話受付時間 09:50~22:00 ]

365日・土日祝日対応

歯に貼るセラミック
(ラミネートベニア)

  1. TOP
  2. メニュー
  3. セラミック歯
  4. 歯に貼るセラミック

おしゃれ感覚の
手軽さで、歯を白く
歯並びも整える

歯に貼るセラミック
(ラミネートベニア)とは?

歯に貼るセラミック(ラミネートベニア)とは、歯の表面を0.5mmほど削り、そこに、付け爪のような薄いチップを貼り付ける治療方法です。
歯の形が悪い、歯の色が悪い、すきっ歯を治したいなどのご要望にお応えできます。
歯を削る量が少なく、治療回数も少なくてすみ、麻酔が不要で痛みもありません。

歯に貼るセラミック
(ラミネートベニア)の特徴

  • ホワイトニングではできない強く変色した歯でも白くできる
  • 歯を削る量が少なく、痛みも無く、短期間で治療が済む
  • セラミック製なので、摩耗しにくく変色の心配がない
  • 歯の色を自由に選べ、天然歯のような自然な仕上がりになる

こんな方におすすめ

  • 短時間に歯並びをきれいにしたい方
  • 手軽に歯並びをきれいにしたい方
  • あまり大きく歯を削りたくない方
  • 大きく歯並びを変えたい…
  • 歯に透明感がほしい…
  • 薄いチップは強度が心配…

そんな方にはこちらがおすすめ!

セラミック矯正治療の詳細を見る

歯に貼るセラミック治療の
無料カウンセリング受付中!!

tel.
03-6459-2799

歯に貼るセラミック治療
(ラミネートベニア)の料金表

■ ラミネートベニア

歯列の美しさ ★★★☆☆
耐久性 やや強い
汚れのつきやすさ つきにくい
金属使用 なし
保険適用 なし
値段 43,780円(税込)
関連コラム:
セラミック歯の値段は?被せ物1本からの治療料金や相場を徹底解説!
  • ラミネートベニアの料金を詳しく見る
  • 医療費控除ついて

症例写真

ラミネートベニア1歯
¥43,780(税込)

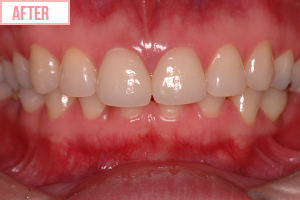
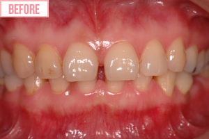
  • 歯に貼るセラミック1歯施術前
  • 歯に貼るセラミック1歯施術後

前歯の隙間がありました。歯を薄く削り、その上にセラミック歯のチップを貼り付けることで、歯の形を整えました。

ラミネートベニアのリスク

  • 削る量はとても少ないが、健康な歯の表面を削る必要がある
  • その処置によって歯の寿命が短くなる可能性がある
  • 色の改善に限界がある
  • セラミックが薄い為、歯ぎしりや噛み合わせなどによって極まれに割れてしまうことがある
  • 歯の向きは変えられない
  • 大きく歯並びを変えたい…
  • 歯に透明感がほしい…
  • 薄いチップは強度が心配…

そんな方にはこちらがおすすめ!

セラミック矯正治療の詳細を見る

歯に貼るセラミック治療の
無料カウンセリング受付中!!

tel.
03-6459-2799

治療の流れ

  • 1日目

    1. 1.歯の表面を削る

      歯の表面のエナメル質部分だけを、0.5~0.7mmほど薄く削ります。
      痛みを全くともなわずに処置できます。

    2. 2.型を取る

      削った歯の型を取り、チップ上のセラミック歯を制作します。

  • 2日目

    1. 3.接着

      強力な接着剤で、歯に貼るセラミックと歯の表面を接着します。
      光を当てることで接着剤が固まり、しっかりと固定されます。

    2. 4.研磨と適合

      歯の表面を磨き、周囲の健康な歯とほとんど見分けがつかないように調整します。
      その後、噛み合わせを調整して完了です。

セラミック矯正治療関連ページ

  • セラミック歯
  • セラミック矯正
  • セラミック・強化プラスチックのつめ物

セラミック治療関連コンテンツ

  • 2025年03月12日
    歯を削る!?セラミック矯正のメリット・デメリットと削らない治療
  • 2024年12月09日
    セラミック歯の値段は?被せ物1本からの治療料金や相場を徹底解説!
  • 2023年08月21日
    セラミックの被せ物は保険適用になる?銀歯・CAD/CAM冠の違い
  • 2025年03月12日
    歯を削る!?セラミック矯正のメリット・デメリットと削らない治療
  • 2022年05月24日
    むし歯治療は審美性の高いセラミックがおすすめ!セラミックを選ぶメリットは?
  • 2022年01月06日
    インプラントとセラミックの違いは?治療内容を知ることの大切さ
  • セラミック歯に関するコラム

    セラミック歯に関するコラム

    セラミック歯に関する基礎知識や、治療方法についてご紹介いたします。

  • セラミック歯の治療事例

    セラミック歯の治療事例

    当院におけるセラミック歯の治療事例を掲載しています。

歯に貼るセラミック治療の
無料カウンセリング受付中!!

tel.
03-6459-2799
⇒歯科治療メニュー一覧

アクセス access

表参道デンタルクリニック

〒107-0061
東京都港区北青山3-5-9 カプリ北青山
(旧中央珈琲本社ビル)6F

※表参道駅 A3出口より徒歩3分 青山通り沿いです

© 2025 OMOTESANDO DENTAL CLINIC
↑