1. TOP
  2. メニュー
  3. セラミック歯
  4. セラミック歯料金表
最終更新: [セラミック歯のコラム]

セラミック歯の値段は?
被せ物1本からの治療料金や相場を
徹底解説!

本来の歯の色に限りなく近い、白くて透明感のある仕上がりとなるセラミック。
しかし、現在の日本の医療では保険適用外となります。
そこで、気になるセラミックの一般的な値段の相場と、当院のセラミック治療の料金について解説していきます!

セラミック歯の値段について

セラミック歯の値段は、使用するセラミックの種類によって異なります。セラミックには様々な素材があり、製造工程や原材料費が異なるため、価格が変わってくるのです。また、詰め物(インレー)と被せ物(クラウン)でも、費用は変わってきます。
この記事では、それぞれのセラミック素材の特徴を解説しながら、セラミック治療にかかる料金について説明していきます。

素材 値段(相場)
オールセラミック(e-max) 100,000~200,000円
フルジルコニア 100,000~150,000円
メタルボンド 80,000~150,000円

セラミック歯の素材3つ比較

  • 見た目が美しい「e-max」

    審美性を重視したい方は、イーマックスがおすすめです。天然歯の透明感や色味を表現できます。イーマックスは、ポーセレンの弱点だった「割れやすい」という性質を克服し、審美性と耐久性を兼ね備えたセラミックとして人気が高い素材です。

  • 耐久性が高く割れにくい「ジルコニア」

    耐久性を重視したい方は、ジルコニアがおすすめです。ジルコニアは強度が非常に高く、「人工ダイヤモンド」と呼ばれています。強い力が加わりやすい奥歯の被せ物や、歯ぎしりや食いしばりのある方は、ジルコニアが良いでしょう。セラミックの一種なので、天然歯に近い色を表現できますが、イーマックスほど美しくはありません。また、とても硬いので、噛み合う歯を傷めてしまうリスクもあります。

  • 審美性と耐久性のバランスが良い「メタルボンド」

    メタルボンドは、フレームとなる部分が金属で、表側にセラミックを使用した被せ物です。金属アレルギーの方はおすすめしません。耐久性は銀歯と同程度です。外から見える部分にセラミックを使用するため、一見すると普通のセラミック歯に見えますが、審美面ではイーマックスに劣ります。

当院のセラミック歯の料金一覧

セラミッククラウン

天然の歯と見間違えるような透明感からマット仕上げまで、まっ白な色から周囲の歯にマッチする色まで、すべてにこだわったデザインをご提供いたします。当院のオールセラミックは、強度の高いe-maxを使用しています。

施術名・内容 ODC価格(税込) 備考
セラミッククラウン
※差し歯、被せ物をキレイにしたい方にお勧め!治療費全て込み。(仮歯が必要な場合別途)
奥歯ホワイトジルコニア
クラウン(1歯)
¥31,790※1 破損した場合のみ1年間保証
前歯ホワイトジルコニア
クラウン(1歯)
¥53,350※1
オールセラミッククラウン(1歯)(IPS-e-maxセラミック使用) ¥53,680※1
ダイヤモンドジルコニアセラミッククラウン(1歯) ¥53,680※1
仮歯 ¥2,200※1
エステティックセラミッククラウン
※こだわりのデザインでキレイにしたい方
【美容専門のトレーニングを受けた歯科医師と専門の技工士がお作りしています】
エステティックデザインオールセラミッククラウン(1歯)(IPS-e-maxセラミック使用) ¥68,640 破損した場合のみ5年間保証
エステティックデザインダイヤモンドジルコニアセラミッククラウン(1歯) ¥84,480
デザイン仮歯 ¥4,070
その他の
セラミッククラウン
クイッククラウン
新治療!その日、1回の治療で銀歯を白い歯に!
¥29,700 破損した場合のみ1年間保証
メタルボンド
金属の裏打ち(1歯)
¥60,478
土台・芯 ファイバーコア
(土台・芯)
¥15,950
ファイバーコア
(土台・芯)除去
¥5,280 必要に応じて

※1割引対象外

保証条件:治療終了後、半年の1回のクリーニングと定期検診を受けていただく必要があります

セラミッククラウンの種類

■ ホワイトジルコニアクラウン

ピュアジルコニアは、100%ジルコニアでできた被せ物です。
通常のジルコニアクラウンは「芯がジルコニア+表面がセラミック」なので「硬くて歯のような白さ」の素材です。
100%ジルコニアだと「芯がジルコニア+表面もジルコニア」でできており、「固くして真っ白」なので前歯の一部だけに使用するにはあまり向いてません。
前歯全体をピュアジルコニアで治すと、芸能人のようなピカピカのまっ白い歯にすることができます(不自然な感じになります)。

  • 奥歯

  • 前歯

素材 ジルコニア
(人工ダイヤモンド)
歯列の美しさ ★★★☆☆
耐久性 非常に強い
精度 良い
汚れのつきやすさ つきにくい
臭いのつきやすさ つきにくい
金属使用 なし
保険適用 なし
値段 奥歯:31,790円(税込)
前歯:53,350円(税込)

■ オールセラミッククラウン

セラミックのコーピング(ベース)に、セラミックを焼き付けるものを、オールセラミック(削り出しセラミック+焼付けセラミック)といいます。
歯に最も外観が近い素材であり、前歯などにおいては透明感や発色性が本物と非常に近く、美容的に優れた素材です。
金属を一切使用しないため、歯の付け根の黒ずみが生じる可能性が少なく、金属アレルギーの方にも使用できるという利点もあります。 しかし、現在においても奥歯での使用強度には不安があり、私たちは前歯に対しての治療に用いることが多いです。
また近年、コンピューター技術と機械の精度の上昇により、セラミックの塊から歯の形に削り出すCAD-CAMという技術も開発されています。

  • オールセラミック歯
     

    素材 IPS-emaxセラミック
    歯列の美しさ ★★★★☆
    耐久性 強い
    精度 非常に良い
    汚れのつきやすさ つきにくい
    臭いのつきやすさ つきにくい
    金属使用 なし
    保険適用 なし
    値段 53,680円(税込)
  • エステティックデザイン
    オールセラミック歯

    素材 IPS-emaxセラミック
    歯列の美しさ ★★★★★
    耐久性 強い
    精度 非常に良い
    汚れのつきやすさ つきにくい
    臭いのつきやすさ つきにくい
    金属使用 なし
    保険適用 なし
    値段 68,640円(税込)

■ ダイヤモンドジルコニアセラミッククラウン

ダイヤモンドセラミック歯では、コーピング(ベース)に人工のダイヤモンドであるジルコニアを使用します。
その上にセラミックを焼き付ける方法で、一般的にジルコニアセラミック法(ジルコニア+セラミック)と呼ばれています。
利点は、人工のダイヤモンドは白い素材であるので、それを透き通らせることにより美容的に優れた素材となります。
人工ダイヤモンドなので強度も金属同様に強く、今後主流の材料となる可能性があります。
また100%オールセラミック歯同様に金属を一切使用しないため、歯の付け根の黒ずみが生じる可能性が少なく、金属アレルギーの方にも使用していただけます。
欠点は、非常に高価な材料であり、治療費用が高額となってしまう点です。

  • ダイヤモンドジルコニア
    セラミック歯
     

    素材 ジルコニア
    (人工ダイヤモンド)
    歯列の美しさ ★★★★☆
    耐久性 非常に強い
    精度 良い
    汚れのつきやすさ つきにくい
    臭いのつきやすさ つきにくい
    金属使用 なし
    保険適用 なし
    値段 53,680円(税込)
  • エステティックデザイン
    ダイヤモンドジルコニア
    セラミック歯

    素材 ジルコニア
    (人工ダイヤモンド)+
    IPS-emaxセラミック
    歯列の美しさ ★★★★★
    耐久性 非常に強い
    精度 非常に良い
    汚れのつきやすさ つきにくい
    臭いのつきやすさ つきにくい
    金属使用 なし
    保険適用 なし
    値段 84,480円(税込)

セラミック矯正

■ スマイルラインセット

こんな方におすすめ

  • 歯ならびが気になる!
  • 最近よく聞くセラミック矯正をやってみたい!
  • 短期間で歯ならびをキレイにしたい!
  • 口元を全体的にキレイにしたい!
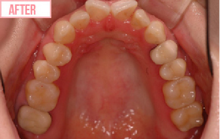
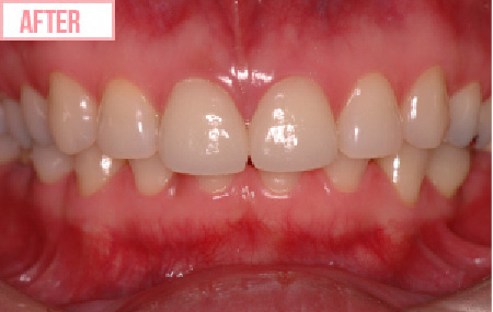
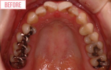
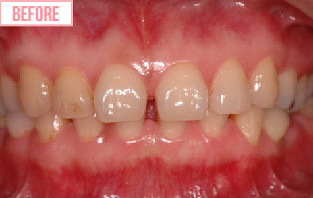
  • スマイルラインセットのbefore
  • スマイルラインセットのafter

セラミック矯正であれば仮歯の装着時で歯ならびはキレイになります。
約3回程度の通院で、セラミックの歯を装着できるので通院の負担が減らせます。
また、審美歯科・美容歯科では神経治療が当たり前と考えられがちですが、そんなことはありません。
必要以上に歯を削らず、可能な限り歯の神経を取らないようにしてます。
大切な歯を最大限残す治療を常に考えて治療に当たってます。

スマイルライン 高級スマイルライン 最高級スマイルライン
歯列の美しさ ★★★★☆ ★★★★★ ★★★★★
耐久性 強い 強い とても強い
汚れのつきやすさ とてもつきにくい とてもつきにくい とてもつきにくい
審美性 優れている とても優れている とても優れている
金属使用 なし なし なし
保険適用 なし なし なし
オプション 仮歯、土台付き デザイン仮歯、土台付き デザイン仮歯、土台付き
値段 4本セット 222,000円(税込) 268,950円(税込) 352,000円(税込)
6本セット 319,800円(税込) 441,100円(税込) 519,800円(税込)

歯に貼るセラミック

■ ラミネートべニア

こんな方におすすめ

  • すきっ歯が気になる!
  • 歯を白くしたい!
  • 歯を大きく削りたくない!
  • 口元を全体的にキレイにしたい!
  • ラミネートべニアのbefore
  • ラミネートべニアのafter

歯に貼るセラミックとは、歯の表面を0.5mmほど削り、そこにネイルチップのような薄いセラミック歯を貼り付ける治療方法です。
歯の形が悪い、歯の色が悪い、すきっ歯を治したいなどのご要望にお応えできます。
歯を削る量が少なく、治療回数も少なくてすみ、麻酔が不要で痛みもありません。

歯列の美しさ ★★★☆☆
耐久性 やや強い
汚れのつきやすさ つきにくい
金属使用 なし
保険適用 なし
値段 43,780円(税込)

セラミックの詰め物(インレー)

■ セラミックインレー

こんな方におすすめ

  • 治療した銀歯を白くしたい!
  • 詰め物が不自然、キレイに直したい!
  • 口元を全体的にキレイにしたい!
  • 金属アレルギーが気になる!
  • セラミックインレーのbefore
  • セラミックインレーのafter

奥歯がむし歯になった場合、保険診療ではむし歯部分を削って銀歯で埋めることが多いですが、奥歯が銀歯では見た目がよくありません。
それを強化プラスチックやセラミックでつめ替える治療が可能です。
欠損部が小さい場合は強化プラスチックの充てんを、中程度の場合はセラミックのつめ物の装着を行います。

歯列の美しさ ★★★☆☆
耐久性 とても強い
汚れのつきやすさ とてもつきにくい
金属使用 なし
保険適用 なし
値段 24,860円(税込)

セラミック歯は
医療費控除できる?

ご存知でしたか?セラミック歯の治療費も医療費控除の対象となる可能性があります。

医療費控除とは?

医療費控除を利用すると、支払った医療費の一部が所得税から控除され、税金の還付を受けられる場合があります。

医科・歯科の保険診療費だけでなく、インプラントやセラミック治療、矯正治療などの自費治療も、1年間の合計医療費がご家族全員で10万円を超える場合、医療費控除の対象となります。さらに医療機関までの交通費も含めることができます。

医療費に関する領収書を大切に保管し、確定申告で医療費控除を申請して、適切な控除を受けましょう。 詳しくは、お住まいの地域の市区町村役所または税務署にお問い合わせください。

セラミック歯は何年持つ?

セラミック歯の寿命は、一般的に10~15年程度です。保険適用の銀歯は5~7年程度なので、セラミック歯の方が、審美性だけでなく、寿命も長いのです。
しかし、セラミックにはいろいろな種類があり、セラミックの素材によって寿命は異なります。
それぞれの平均寿命と特徴を解説します。

セラミッククラウンの寿命

■ オールセラミック・・・平均寿命は、10~15年程度です。

オールセラミックは、すべてがセラミック(陶器)でできているので、審美性が高いです。天然歯に近い透明感や白さが特徴で、美しさを重視する方におすすめです。

■ e-max・・・平均寿命は、10~15年程度です。

e-maxは、主成分が「ニケイ酸リチウムガラス」となるセラミックの一種です。審美性が高いうえ、オールセラミックよりも強度が高いです。天然歯と同じくらいの自然な硬さが特徴です。

■ ジルコニア・・・平均寿命は、10~15年程度です。

ジルコニアは、審美性と耐久性が高く、「人工ダイヤモンド」と呼ばれています。硬い素材のため、強い力が加わりやすい奥歯におすすめです。一方で、天然歯よりも硬い素材のため、噛み合う歯を傷つける可能性があります。

■ メタルボンド・・・平均寿命は、8~10年程度です。

メタルボンドは、金属にセラミックを焼きつけた被せ物です。中心が金属のため耐久性が高いですが、金属アレルギーの方には向きません。
審美性も高いですが、角度によって金属が見える可能性があります。また、金属イオンが溶けだすと、歯茎が黒ずむ可能性もあります。

セラミックインレーの寿命

■ セメント・・・平均寿命は、10年程度です。

セラミックを接着するセメント、「レジンセメント」は、一番接着力が高く硬いセメントです。寿命は、日々唾液の中にさらされている状態で、約10年と言われています。

■ e-max・・・平均寿命は、10~15年程度です。

e-MAXインレーは、セラミックインレーの中でとても多く使用されている材質です。寿命は、10〜15年と言われています。

■ ジルコニア・・・平均寿命は、10~15年程度です。

ジルコニアインレーは、ジルコニア自体が硬い材質ですので、それ自体が壊れたりすることは少ないです。セメントの寿命が関係してきます。

歯に貼るセラミックの寿命

■ ラミネートべニア・・・平均寿命は、10~20年程度です。

ラミネートベニアのチップに利用される素材は、人間の歯と同程度の耐久性があると言われていますが、接着剤が劣化してしまう可能性があり、寿命は、10〜15年と言われています。

セラミック歯を
長く持たせるには?

日々の丁寧な口腔ケア

歯を磨いている女性

セラミックはむし歯になりにくいとはいえ、お口の中の環境で寿命は大きく変わります。長時間お口の中に汚れがたまると、セラミックと歯の間からむし歯になってしまい、セラミックの取替が必要になってきてしまいます。

日々の歯磨きなど口腔ケアをしっかりと行うことで、お口のトラブルを予防することができ、セラミックの寿命を延ばすことができるのです。

専門性の高い医師や
歯科技工士のいる医院を選ぶ

セラミック歯はいくら丈夫な素材でも、自分の歯に合わないとすき間に汚れがたまり、そこから虫歯になる可能性が高くなります。
そのため、歯科医師と歯科技工士の経験と技術が、セラミック歯の寿命を大きく左右します。

セラミック歯を長く健康に保ちたいなら、実力のある専門医院を選ぶことが大切です。
当院では、これまで多くの症例を手がけてきた経験豊富なスタッフが在籍しています。

問診している女性

ナイトガード(マウスピース)を着用

マウスピース

セラミックは陶器でできています。
セラミックは強度の高いものですが、強い衝撃が加わると欠けたり割れてしまうことがあります。

噛む力が強い方や、夜間に歯ぎしりをされる方、日中も噛む癖がある方(TCH)は注意が必要です。
夜間に歯ぎしりをされる方は、就寝時にマウスピースを装着することをおすすめします。TCHの傾向がある方は、噛み癖を治す必要があります。

歯にかかる力を軽減させることで、セラミックの寿命も長くなります。

まとめ

セラミック治療は、選ぶ素材によって、値段はもちろん、見た目や耐久性も変わってきます。
審美性を重視したい方は、透明感のある天然歯に近い仕上がりのオールセラミックかe-maxがオススメです。
耐久性を重視したい方は、メタルボンドかジルコニアセラミックがオススメです。
当院では単なる見た目だけの治療ではなく、歯の長期的な健康まで含めて治療しています。
セラミック治療をお考えの方は、ぜひご相談ください。

監修医情報

飯島 実

表参道デンタルクリニック 院長
飯島実医師

経歴
  • 2000年

    日本大学松戸歯学部 卒業
    東京医科歯科大学病院 勤務

  • 2002年

    都内某審美歯科医院 勤務

  • 2004年

    赤坂美容クリニック
    ニューオータニ 歯科診療部長

  • 2006年

    米UCLA歯学部 留学/p>

  • 2007年

    湘南美容外科 審美歯科 部長 責任者

  • 2014年

    表参道デンタルクリニック 院長

アクセス access